A unique skin clinic in the heart of Brentwood
Derma Aesthetics Clinic offer a selection of superficial to medium depth AlumierMD peels known for their excellent results and safety profile. We believe in repeated treatments for progressive and gradual results, and to avoid the side effects and downtime associated with deeper peels.
AlumierMD Peel Treatments really are the next generation of clinical exfoliation!
With a variety of peels, each with a unique complex of ingredients, your AlumierMD professional can customise your program of treatments to target your specific skin concerns whether it be aging, pigmentation or acne. This unique experience includes an exfoliating peel treatment, brightening enhancement followed by prescriptive targets serums with reveal a more radiant, soft and luminous skin.

(Dry, Normal, Oily, Dehydrated, Acne, Hyperpigmentation & Ageing)
Glow Peel combines lactic acid, salicylic acid and resorcinol, creating a multipurpose resurfacing solution effective in minimizing the appearance of fine lines, wrinkles and hyperpigmentation issues like age spots, discolouration and uneven skin tone. This formula exfoliates dead skin cells and stimulates cell renewal. To suit individual needs, Glow Peel can be customized by strength by numbers of layers.


(Acne, hyperpigmentation & Ageing)
Vitamin A boost is a potent and pure retinol and lactic acid resurfacing treatment. It reduces the appearance of fine lines, wrinkles and hyperpigmentation by boosting collagen production and speeding cell turnover, creating a more radiant and even-toned complexion. Ideal for mature or sun damaged skin.
(Acne, Congestion)
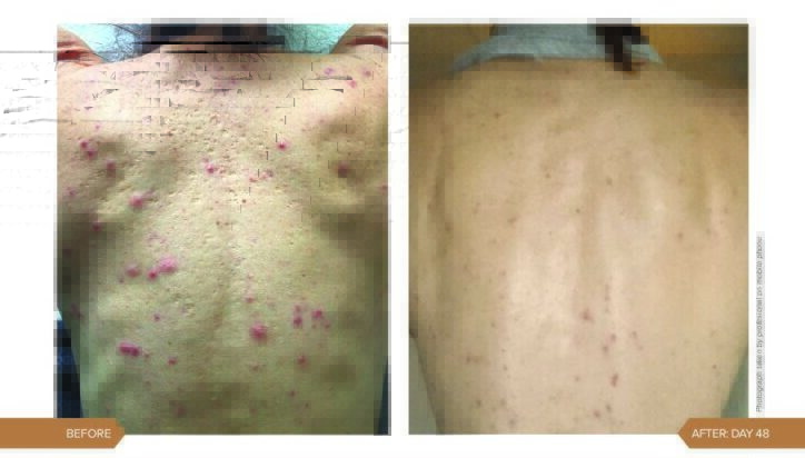
Detox Clear contains salicylic acid and lactic acid for excellent pore penetration and exfoliation. Salicylic acid penetrates into the pore and exfoliates dead skin cells and excess sebum. Lactic acid exfoliates dead skin cells and hydrates. Eucalyptus provides strong astringent properties. Together, they work to smooth skin, minimise pore size experience, reduce acne and prevent new pimples from forming.


(Acne, hyperpigmentation, uneven skin tone, congestion, open pores & oiliness)
With lactic and salicylic acid, radiant 20/10 resurfacing peel contains a powerful combination of them both which improves skin tone and texture by exfoliating dead skin cells and speeding cell turnover. The multipurpose resurfacing peel reduces acne pimples and minimizes the appearance of fine lines and wrinkles, large pores, hyperpigmentation and sun damage.
(Hyperpigmentation, Uneven Skin tone, dull skin, line & wrinkles)
Radiant 30 is an alpha hydroxy acid resurfacing peel containing lactic acid to exfoliate dead skin cells. Boost cell turnover and stimulate collagen, improving skin texture and tone. This multifunctional peel targets multiple skin conditions, including fine lines and wrinkles, discoloration, sun damage and large pores.








To find out which treatments are best for you, or to book a consultation contact us on 01277 213 980. Alternatively, you can contact us using the form at the bottom of this page.